

工作时间 :
周一~~周五
9:00 -18:00
在非工作时间,您可以通过邮件订购产品,订购时请写明详细联系方式,谢谢支持!
销售:18321282235
技术:021-60514606
传真:021-37680378
顾经理微信 扫一扫,关注我们

Details
Alternative Names:
Piwil1; Miwi; PIWIL1;
Application:
WB IHCIF IP
Reactivity:
Mouse Rat
Dilution:
WB 1:500-1:2000 IHC 1:50-1:200 IF 1:20-1:100 IP 1:20-1:100
|
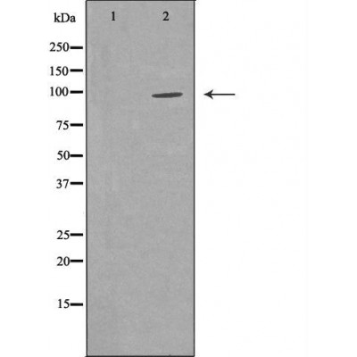
Western blot analysis of extracts of various celllines, using MIWI antibody. |
Purification:
Affinity-chromatography
Specificity:
MIWI Antibody detects endogenous levels of total MIWI
Immunogen:
A synthesized peptide derived from human MIWI
Description:
Storage Condition and Buffer:
Rabbit IgG in phosphate buffered saline , pH 7.4, 150mM NaCl, 0.02% sodium azide and 50% glycerol. Store at +4°C short term. Store at -20°C long term. Avoid freeze / thaw cycle.
部门 |
姓名 | 手机 | |||
| 销售部 | 顾先生 | 1916510334@qq.com | 18321282235 | 1916510334 | |
| 技术部 | 技术支持 | 1781364813@qq.com | 13816899465 | 1781364813 |
全国免费电话:18321282235
销售: 18321282235
86-21-60514606
技术: 13816899465
传真: 021-37680378




