

工作时间 :
周一~~周五
9:00 -18:00
在非工作时间,您可以通过邮件订购产品,订购时请写明详细联系方式,谢谢支持!
销售:18321282235
技术:021-60514606
传真:021-37680378
顾经理微信 扫一扫,关注我们

Details
Alternative Names:
hSmad5; JV5-1 ; MADH5; SMAD5; MusMLP ;SMAD family member 5;
Application:
WB IHC ICC/IF
Reactivity:
Human Mouse Rat
Dilution:
WB 1:500~1:2000 IHC 1:50~1:200 ICC/IF 1:50~1:200
|
Western blot analysis of Phospho-Smad5 in (1)Mouse brain tissue lysate; (2)Rat brain tissue lysate. |
|
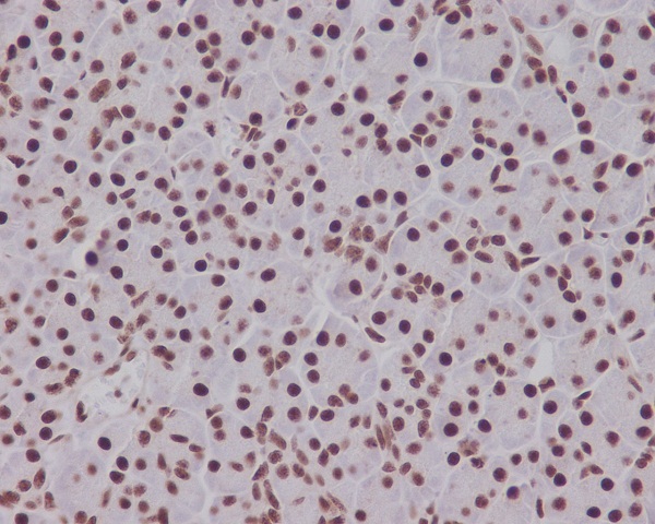
Immunohistochemical analysis of paraffin-embedded human pancreas, using Phospho-Smad5 (S463/465) Antibody. |
Purification:
Affinity-chromatography
Specificity:
Phospho-Smad5 (S463/465) Antibody detects endogenous levels of total Phospho-Smad5 (S463/465)
Immunogen:
A synthesized peptide derived from human Phospho-Smad5 (S463/465)
Description:
Transcriptional modulator activated by BMP (bone morphogenetic proteins) type 1 receptor kinase. SMAD5 is a receptor-regulated SMAD (R-SMAD). SMAD5 is required for normal development of the cardiovascular system in vivo; lack of the SMAD5 gene results in apoptosis of cardiac myocytes.
Storage Condition and Buffer:
Rabbit IgG in phosphate buffered saline , pH 7.4, 150mM NaCl, 0.02% sodium azide and 50% glycerol. Store at +4°C short term. Store at -20°C long term. Avoid freeze / thaw cycle.
部门 |
姓名 | 手机 | |||
| 销售部 | 顾先生 | 1916510334@qq.com | 18321282235 | 1916510334 | |
| 技术部 | 技术支持 | 1781364813@qq.com | 13816899465 | 1781364813 |
全国免费电话:18321282235
销售: 18321282235
86-21-60514606
技术: 13816899465
传真: 021-37680378




