

工作时间 :
周一~~周五
9:00 -18:00
在非工作时间,您可以通过邮件订购产品,订购时请写明详细联系方式,谢谢支持!
销售:18321282235
技术:021-60514606
传真:021-37680378
顾经理微信 扫一扫,关注我们

Details
Alternative Names:
Aw-68;HLA class I histocompatibility antigen, A-28 alpha chain;MHC class I antigen A*68;HLA-A; MHC class I antigen HLA A heavy chain;
Application:
WB IHC ICC/IF IP FC
Reactivity:
Human
Dilution:
WB 1:500~1:2000 IHC 1:50~1:200 ICC/IF 1:50~1:200 IP 1:50 FC 1:50
|
Western blot analysis of MHC class 1 expression in A549 cell lysate. |
|
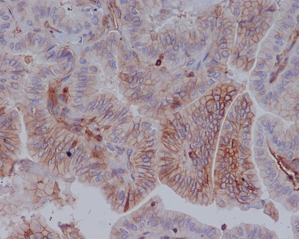
Immunohistochemical analysis of paraffin-embedded human thyroid carcinoma, using MHC class 1 Antibody. |
Purification:
Affinity-chromatography
Specificity:
MHC class 1 Antibody detects endogenous levels of total MHC class 1
Immunogen:
A synthesized peptide derived from human MHC class 1
Description:
MHC class 1 is involved in the presentation of foreign antigens to the immune system.
Storage Condition and Buffer:
Rabbit IgG in phosphate buffered saline , pH 7.4, 150mM NaCl, 0.02% sodium azide and 50% glycerol. Store at +4°C short term. Store at -20°C long term. Avoid freeze / thaw cycle.
部门 |
姓名 | 手机 | |||
| 销售部 | 顾先生 | 1916510334@qq.com | 18321282235 | 1916510334 | |
| 技术部 | 技术支持 | 1781364813@qq.com | 13816899465 | 1781364813 |
全国免费电话:18321282235
销售: 18321282235
86-21-60514606
技术: 13816899465
传真: 021-37680378




