

工作时间 :
周一~~周五
9:00 -18:00
在非工作时间,您可以通过邮件订购产品,订购时请写明详细联系方式,谢谢支持!
销售:18321282235
技术:021-60514606
传真:021-37680378
顾经理微信 扫一扫,关注我们

Details
Alternative Names:
CD8;T-cell surface glycoprotein CD8 alpha chain; Leu2; CD8A; MAL; T8 T cell antigen;
Application:
WB IHC ICC/IF
Reactivity:
Human
Dilution:
WB 1:500~1:2000 IHC 1:50~1:200 ICC/IF 1:50~1:200
|
Western blot analysis of CD8 expression in Jurkat cell lysate. |
|
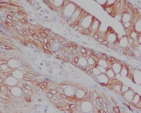
Immunohistochemical analysis of paraffin-embedded human colon, using CD8 Antibody. |
|
Immunofluorescent analysis of Jurkat cells, using CD8 Antibody . |
Purification:
Affinity-chromatography
Specificity:
CD8 Antibody detects endogenous levels of total CD8
Immunogen:
A synthesized peptide derived from human CD8
Description:
Identifies cytotoxic/suppressor T-cells that interact with MHC class I bearing targets. CD8 is thought to play a role in the process of T-cell mediated killing. CD8 alpha chains binds to class I MHC molecules alpha-3 domains.
Storage Condition and Buffer:
Rabbit IgG in phosphate buffered saline , pH 7.4, 150mM NaCl, 0.02% sodium azide and 50% glycerol. Store at +4°C short term. Store at -20°C long term. Avoid freeze / thaw cycle.
部门 |
姓名 | 手机 | |||
| 销售部 | 顾先生 | 1916510334@qq.com | 18321282235 | 1916510334 | |
| 技术部 | 技术支持 | 1781364813@qq.com | 13816899465 | 1781364813 |
全国免费电话:18321282235
销售: 18321282235
86-21-60514606
技术: 13816899465
传真: 021-37680378




