

工作时间 :
周一~~周五
9:00 -18:00
在非工作时间,您可以通过邮件订购产品,订购时请写明详细联系方式,谢谢支持!
销售:18321282235
技术:021-60514606
传真:021-37680378
顾经理微信 扫一扫,关注我们

IKK alpha Antibody
Details
Alternative Names:
CHUK; I-kappa-B kinase 1; I-kappa-B kinase alpha; I-kappa-B kinase-alpha; IkappaB kinase; IkB kinase alpha subunit; IkBKA; IKK-A; IKK-a kinase; IKK-alpha; IKK1; IKKA;
Application:
WB IHC ICC/IF IP FC
Reactivity:
Human Mouse Rat
Dilution:
WB 1:5000~1:20000 IHC 1:50~1:200 ICC/IF 1:50~1:200 IP 1:50 FC 1:50
|
Western blot analysis of IKK alpha expression in Daudi cell lysate. |
|
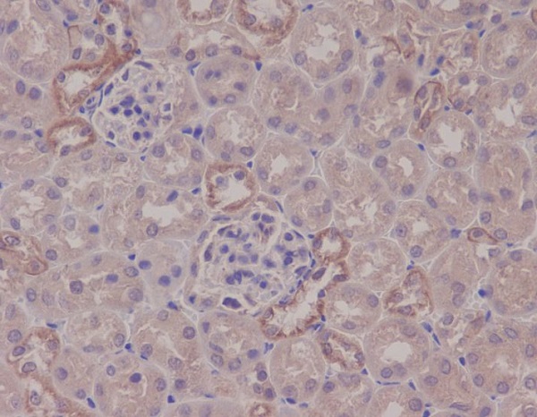
Immunohistochemical analysis of paraffin-embedded mouse kidney, using IKK alpha Antibody. |
Purification:
Affinity-chromatography
Specificity:
IKK alpha Antibody detects endogenous levels of IKK alpha
Immunogen:
A synthesized peptide derived from human IKK alpha
Description:
Plays an essential role in the NF-kappa-B signaling pathway which is activated by multiple stimuli such as inflammatory cytokines, bacterial or viral products, DNA damages or other cellular stresses. Activation of IKK depends upon phosphorylation at Ser177 and Ser181 in the activation loop of IKKβ (Ser176 and Ser180 in IKKα), which causes conformational changes, resulting in kinase activation.
Storage Condition and Buffer:
Rabbit IgG in phosphate buffered saline , pH 7.4, 150mM NaCl, 0.02% sodium azide and 50% glycerol. Store at +4°C short term. Store at -20°C long term. Avoid freeze / thaw cycle.
部门 |
姓名 | 手机 | |||
| 销售部 | 顾先生 | 1916510334@qq.com | 18321282235 | 1916510334 | |
| 技术部 | 技术支持 | 1781364813@qq.com | 13816899465 | 1781364813 |
全国免费电话:18321282235
销售: 18321282235
86-21-60514606
技术: 13816899465
传真: 021-37680378




