

工作时间 :
周一~~周五
9:00 -18:00
在非工作时间,您可以通过邮件订购产品,订购时请写明详细联系方式,谢谢支持!
销售:18321282235
技术:021-60514606
传真:021-37680378
顾经理微信 扫一扫,关注我们

Details
Alternative Names:
GCAT2; Gcet; Gcsam; hGAL; M17; M17 L;
Application:
IHC ICC/IF FC
Reactivity:
Human
Dilution:
IHC 1:100~1:500 ICC/IF 1:100~1:500 FC 1:100
|
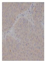
Immunohistochemical analysis of paraffin-embedded human bladder cancer, using GCET2 Antibody. |
Purification:
Affinity-chromatography
Specificity:
GCET2 Antibody detects endogenous levels of total GCET2
Immunogen:
A synthesized peptide derived from human GCET2
Description:
Involved in the negative regulation of lymphocyte motility. It mediates the migration-inhibitory effects of IL6. Serves as a positive regulator of the RhoA signaling pathway. Enhancement of RhoA activation results in inhibition of lymphocyte and lymphoma cell motility by activation of its downstream effector ROCK. Is a regulator of B-cell receptor signaling, that acts through SYK kinase activation.
Storage Condition and Buffer:
Rabbit IgG in phosphate buffered saline , pH 7.4, 150mM NaCl, 0.02% sodium azide and 50% glycerol. Store at +4°C short term. Store at -20°C long term. Avoid freeze / thaw cycle.
部门 |
姓名 | 手机 | |||
| 销售部 | 顾先生 | 1916510334@qq.com | 18321282235 | 1916510334 | |
| 技术部 | 技术支持 | 1781364813@qq.com | 13816899465 | 1781364813 |
全国免费电话:18321282235
销售: 18321282235
86-21-60514606
技术: 13816899465
传真: 021-37680378




