

工作时间 :
周一~~周五
9:00 -18:00
在非工作时间,您可以通过邮件订购产品,订购时请写明详细联系方式,谢谢支持!
销售:18321282235
技术:021-60514606
传真:021-37680378
顾经理微信 扫一扫,关注我们
IPO8 Polyclonal
RANBP8
货号:YBAP16886 |
|
![]() |
|
规格: 50ul/100ul/200ul |
|
价格: 980/1280/1890 |
|
| Immunogen: | Synthetic peptide of human IPO8 | ||
Synonym: |
RANBP8 | ||
| Calculated MW: | |||
| Observed MW: | |||
Source: |
Rabbit | ||
Isotype: |
IgG | ||
Application: |
ELISA IHC | ||
Purify: |
Affinity purification | ||
Concentration: |
2.8mg/ml | ||
Storage Buffer: |
PBS with 0.05% sodium azide, 50% glycerol, pH7.3 | ||
Storage: |
Store at -20℃. Avoid freeze / thaw cycles. |
||
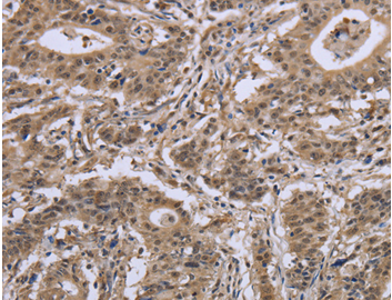
| Immunohistochemistry of Human esophagus cancer using IPO8 Polyclonal Antibody at dilution of 1:50 |
Protocols: |
Buffer-Formulation WB-Guide IHC-Guide IP-Guide IF-Guide |
||
Background: |
The importin-alpha/beta complex and the GTPase Ran mediate nuclear import of proteins with a classical nuclear localization signal. The protein encoded by this gene is a member of a class of approximately 20 potential Ran targets that share a sequence motif related to the Ran-binding site of importin-beta. This protein binds to the nuclear pore complex and, along with RanGTP and RANBP1, inhibits the GAP stimulation of the Ran GTPase. Alternatively spliced transcript variants encoding different isoforms have been found for this gene.
|
||
部门 |
姓名 | 手机 | |||
| 销售部 | 顾先生 | 1916510334@qq.com | 18321282235 | 1916510334 | |
| 技术部 | 技术支持 | 1781364813@qq.com | 13816899465 | 1781364813 |
全国免费电话:18321282235
销售: 18321282235
86-21-60514606
技术: 13816899465
传真: 021-37680378
The latest products







